התמחויות המרפאה

המרפאה בראשות ד״ר איתן מיזיריצקי מתמחה בטיפולים מורכבים הדורשים מומחיות ונסיון רב שנים. המרפאה מצוידת בטכנולוגיות המתקדמות ביותר ובציוד רפואת השיניים המוביל בעולם.

חוות דעת

נטע

5.0

אני כל כל שמחה שהגעתי לפרופסור מיזריצקי אשר בזכות הידע הסופר מקצועי שלו וידי הזהב שלו, הצליח בעדינות ודיוק מרבי להגיע לתוצאה מושלמת

27/10/2020

טוב יובל

5.0

אנחנו מטופלים במרפאה אצל דר' יעל לרמן. מקצועית,אמינה וסבלנית לילדים. שירות מעולה!

22/10/2020

קנבל אהוד

5.0

איתן והצוות היו מקסימים, הטיפול היה מהיר והרגשתי בידיים טובות

13/10/2020

מרפאת מומחים בראשות פרופ' איתן מיזיריצקי - מומחה לשיקום פה

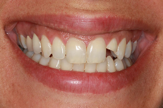
before

לפני

after

אחרי

before

לפני

after

אחרי

before

לפני

after

אחרי

before

לפני

after

אחרי

חשוב שתדעו

חדשות והצלחות

חדשות המרפאה

חדש במרפאה

news

פרופ' איתן מיזיריצקי כיהן בתפקיד יו"ר האיגוד הישראלי לשיקום הפה

זהו האיגוד הגדול ביותר מבין ההתמחויות ברפואת שיניים בישראל. ד"ר מיזיריצקי הוא יועץ לשיקום הפה ומרכז את המחקרים ביחידה לניתוחי פה ולסת במרכז הרפואי "איכילוב" בתל אביב.

news

פרופ' איתן מיזיריצקי נבחר לנציג ישראל באיגוד SENAME

המאגד מדינות מהמזרח התיכון, צפון אפריקה ודרום אירופה. המינוי המכובד ניתן לפרופ' מיזיריצקי במהלך הכנס הבינלאומי של האיגוד שהתקיים בספטמבר 2018, בנפולי איטליה.

news

European Prosthodontic Association

פרופ' מיזיריצקי קיבל הכרה חשובה מהארגון האירופאי לשיקום הפה, והוא כיום המומחה לשיקום הפה הישראלי היחידי עם הכרת מומחיות לשיקום הפה באירופה. מדריד, ספטמבר 2018

news

Digital Dentistry Society

פרופ' איתן מיזיריצקי משמש חבר הנהלת האיגוד הבינלאומי לרפואת שיניים דיגיטלית ומשמש כשגריר האיגוד בישראל

נבחרת המומחים של מרכז המומחים מיזיריצקי

פרופ' איתן מיזיריצקי
פרופ' איתן מיזיריצקי
רופא שיניים ומומחה לשיקום הפה
  • ניסיון וותק של למעלה מ – 25 שנה
  • תכנית מקיפה ומקצועית הכוללת את כל הטיפולים הנדרשים, במקום אחד
  • הציוד והטכנולוגיה המתקדמים ביותר בתחום שיקום הפה
  • חומרי גלם משובחים
  • פתרונות דנטליים בהתאם לפה של המטופל
  • יחס אישי באווירה חמימה ועוטפת
  • דגש על אסתטיקה ברמת גימור מושלמת
פרופ' יונית שווץ לוין
ד"ר יונית שווץ לוין D.M.D
מומחית לטיפולי שורש
  • ניסיון וותק של למעלה מ – 25 שנה
  • תכנית מקיפה ומקצועית הכוללת את כל הטיפולים הנדרשים, במקום אחד
  • הציוד והטכנולוגיה המתקדמים ביותר בתחום שיקום הפה
  • חומרי גלם משובחים
  • פתרונות דנטליים בהתאם לפה של המטופל
  • יחס אישי באווירה חמימה ועוטפת
  • דגש על אסתטיקה ברמת גימור מושלמת
דר' תמיר שלו
ד"ר תמיר שלו
מומחה לניתוחי חניכיים
  • תכנית מקיפה ומקצועית הכוללת את כל הטיפולים הנדרשים במקום אחד
  • הציוד והטכנולוגיה המתקדמים ביותר
  • חומרי גלם משובחים
  • פתרונות דנטליים בהתאם למצב הקליני של המטופל
  • יחס אישי באווירה חמימה ועוטפת
  • דגש על אסתטיקה ברמת גימור מושלמת
ד
ד"ר הדר בן זקן
רופאת שיניים כללית
  • תכנית מקיפה ומקצועית הכוללת את כל הטיפולים הנדרשים במקום אחד
  • הציוד והטכנולוגיה המתקדמים ביותר
  • חומרי גלם משובחים
  • פתרונות דנטליים בהתאם למצב הקליני של המטופל
  • יחס אישי באווירה חמימה ועוטפת
  • דגש על אסתטיקה ברמת גימור מושלמת
פרופ' משה לבנדיגר
ד"ר משה לבנדיגר D.M.D
מומחה ברפואת חניכיים
  • ניסיון וותק של למעלה מ – 25 שנה
  • תכנית מקיפה ומקצועית הכוללת את כל הטיפולים הנדרשים, במקום אחד
  • הציוד והטכנולוגיה המתקדמים ביותר בתחום שיקום הפה
  • חומרי גלם משובחים
  • פתרונות דנטליים בהתאם לפה של המטופל
  • יחס אישי באווירה חמימה ועוטפת
  • דגש על אסתטיקה ברמת גימור מושלמת
ד
ד"ר שירי קופרמן D.M.D
אורתודונטיה - יישור שיניים
  • תכנית מקיפה ומקצועית הכוללת את כל הטיפולים הנדרשים במקום אחד
  • הציוד והטכנולוגיה המתקדמים ביותר
  • חומרי גלם משובחים
  • פתרונות דנטליים בהתאם למצב הקליני של המטופל
  • יחס אישי באווירה חמימה ועוטפת
  • דגש על אסתטיקה ברמת גימור מושלמת
ד"ר יעל לרמן D.M.D
רופאת שיניים כללית
  • תוכנית מקיפה ומקצועית הכוללת את כל הטיפולים הנדרשים, במקום אחד
  • הציוד והטכנולוגיה המתקדמים ביותר בתחום שיקום הפה
  • חומרי גלם משובחים
  • פתרונות דנטליים בהתאם לפה של המטופל
  • יחס אישי באווירה חמימה ועוטפת
  • דגש על אסתטיקה ברמת גימור מושלמת
שיננית מוסמכת
מאיה דורון ארלבוים
שיננית מוסמכת
  • תוכנית מקיפה ומקצועית הכוללת את כל הטיפולים הנדרשים, במקום אחד
  • הציוד והטכנולוגיה המתקדמים ביותר בתחום שיקום הפה
  • חומרי גלם משובחים
  • פתרונות דנטליים בהתאם לפה של המטופל
  • יחס אישי באווירה חמימה ועוטפת
  • דגש על אסתטיקה ברמת גימור מושלמת
מלאו את הפרטים מטה ונחזור אליכם בהקדם

    • מומחי רפואת השיניים המובילים
    • הציוד המקיף והמתקדם בישראל
    • 25 שנות נסיון בהשתלת שיניים
    • תכנית טיפולים בהתאמה אישית
    החזירו לעצמכם את החיוך!